Dental Centar Ostojić
Resnički put 48, 10040 Zagreb
Stomatološka ordinacija: implantati - protetika - oralna kirurgija - estetska stomatologija - ct centar
Stomatološka ordinacija: implantati - protetika - oralna kirurgija - estetska stomatologija - ct centar
Objavljeno: 3.12.2022. 18:26
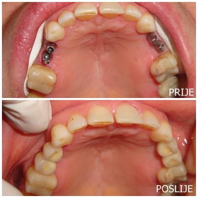
IMPLANTOLOGIJA
Zubni implantati su titanski vijci koji se ugrađuju u kost i predstavljaju zamjenu za korijen izgubljenog zuba. Na implantat se postavlja titanska nadogradnja koja služi kao poveznica između implantata i protetskog nadomjestka. Implantat ima ulogu nosača krunice ukoliko nedostaje jedan zub, odnosno mostova ukoliko je prisutan nedostatak većeg broja zubi.
Zubni implantati izgledaju kao vaši prirodni zubi, a zbog čvrstog srastanja s kosti nema razlike u funkcionalnosti od prirodnih zuba. Implantat stimulira rast kosti, sprečavajući tako gubitak koštane strukture i posljedično povlačenje zubnog mesa. Zubni implantati čuvaju vaše prirodne zube. Naime, ugradnjom implantata ne morate žrtvovati (brusiti) zdrave zube koji bi služili kao nosači mosta.
Ugradnja implantata pri djelomičnim i potpunim bezubostima.
CT CENTAR
Upotrebom novijih dijagnostičkih metoda (CBCT, SMILE DESIGN, PRF) omogućili smo pacijentu iznimno kratak period oporavka te fantastičnu preciznost kod ugradnje implantata.
Za više informacija posjetite web stranicu.