OCIJENI

Kako do hollywoodskog osmijeha?

Objavljeno: 24.5.2024. 14:22

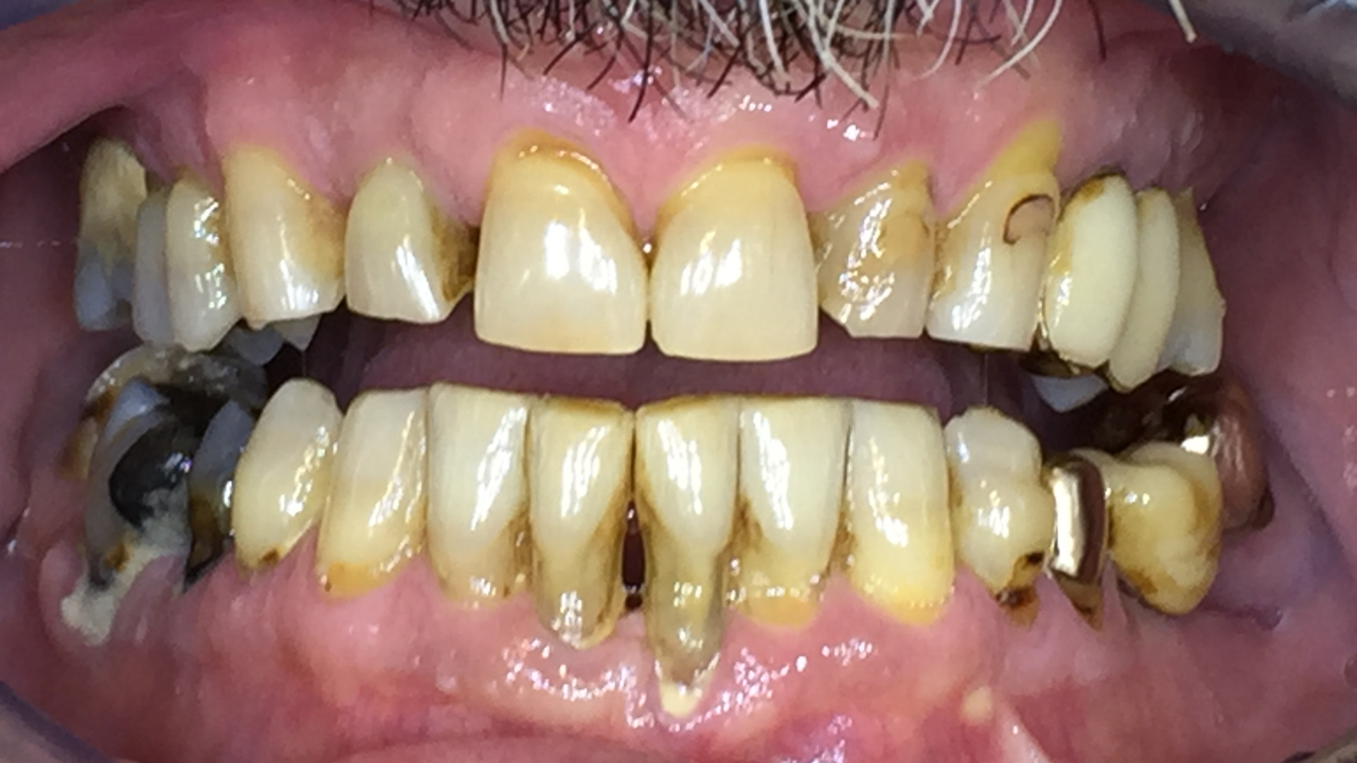
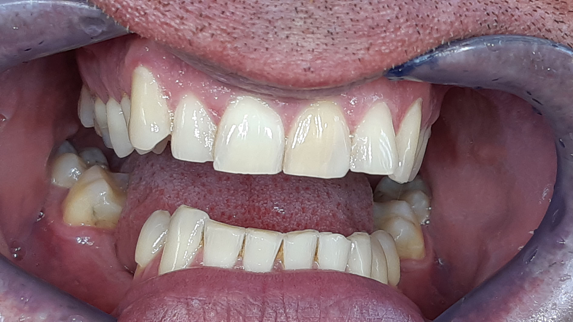
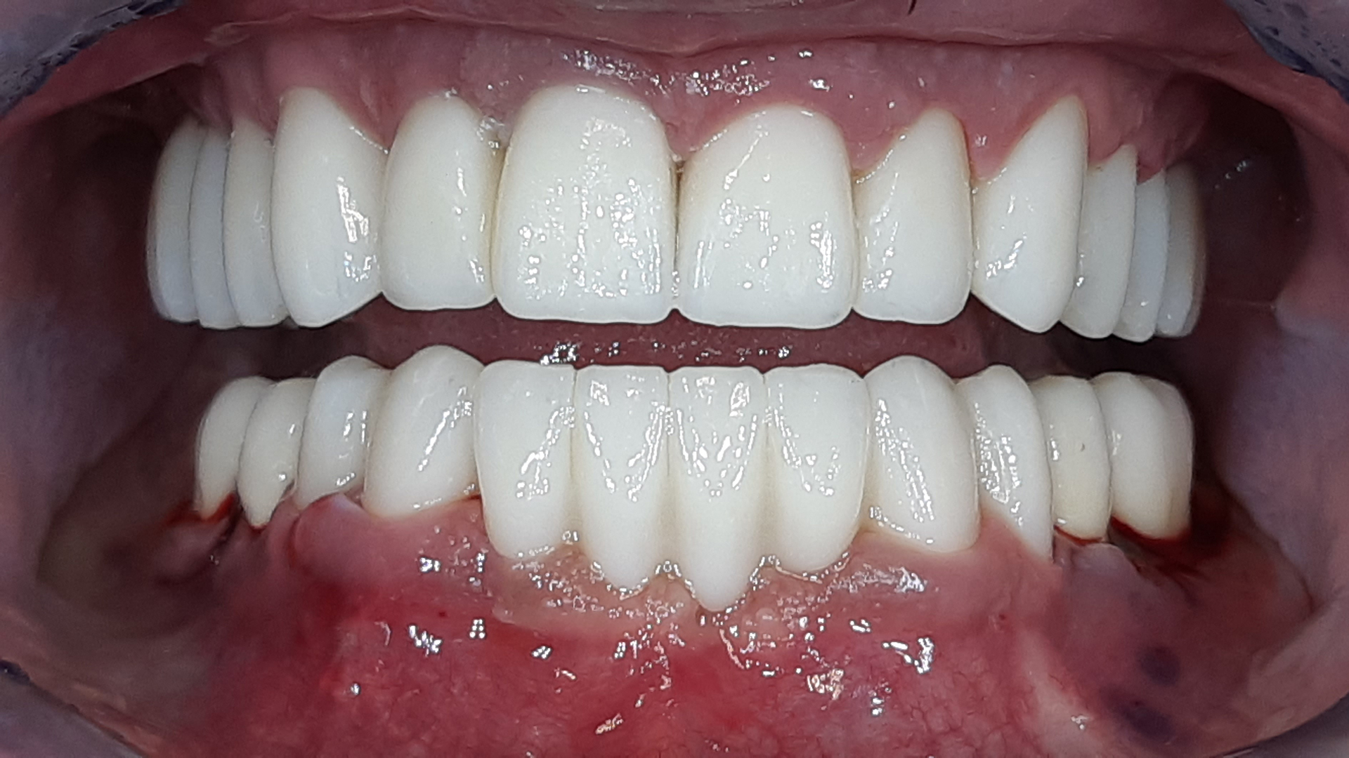
Estetika osmijeha ovisi o više faktora: obliku, boji i položaju zuba, vidljivosti gingive odnosno zubnog mesa pri osmijehu te o širini samog osmijeha. Danas nam na raspolaganju stoje brojni protetski nadomjesci pomoću kojih je moguće poboljšati postojeći ili dobiti potpuno novi osmijeh. 

Jedno od tih nadomjestaka su zubne krunice i zubne ljuskice.

Zubne ljuskice indicirane su za estetske korekcije boje, oblika, nagiba i dužine zuba. Snaga sveze između ljuskica i tvrdih zubnih tkiva postiže se postupcima jetkanja i aplikacijom silana kojim se stvara kemijska veza između keramike i cementa. Ljuskice predstavljaju manje invazivan zahvat od krunica. 

Za zubne krunice potrebno je ukloniti veći dio zubnog tkiva, a one predstavljaju protetsko rješenje u slučajevima avitalnih zubi te kod većih korekcija oblika i nagiba zuba. Krunica u potpunosti prekriva zubni bataljak, za razliku od ljuskica koje prekrivaju samo vanjsku, vestibularnu površinu zuba. 

Danas su zahvaljujući estetskim svojstvima i biokompatibilnosti sve više zastupljene keramičke krunice. U području prednjih zubi cirkon-keramika potpuno je istisnula metal-keramiku iz upotrebe jer omogućuje potpunu transmisiju svjetla čime se postiže bolji estetski rezultat. 

Korištenjem vodenog lasera moguće je napraviti potrebne korekcije gingive odnosno zubnog mesa kako bi se postigao još bolji estetski rezultat.

Cijena zubnih krunica i ljuskica se razlikuje, a sve informacije potrebne za postizanje hollywoodskog osmijeha možete saznati i na web stranici te na besplatnom broju telefona dostupnom u profilu. Naručite se na stručni pregled već danas u Dental Centru Ostojić – Prava adresa za tvoj osmijeh. 

OCIJENI