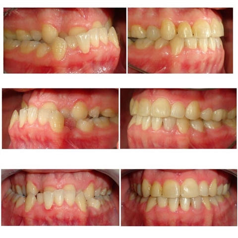
Današnje moderno društvo ljepotu je postavilo na visoko mjesto vrednovanja te je lijep izgled od velike važnosti za većinu nas. Prekrasan osmijeh je tako

postao imperativ suvremenog čovjeka, jer upravo on ostavlja prvi dojam pri komunikaciji. Stoga je poželjno imati ravne i lijepe zube, a kako bismo to postigli potrebno je brinuti o njima. Osim redovnog posjeta stomatologu zbog zdravlja i higijene zuba i usne šupljine, za lijepe zube posebno se brine ortodoncija. Grana stomatologije koja se bavi ispravljanjem položaja i odnosa zuba u čeljusti te međusobnog odnosa gornje i donje čeljusti. Cilj ortodoncije je estetika, ali nije isključivo problem kojim se bavi, već su pravilno postavljeni zubi važni i za zdravlje čitavog živčanog sustava, čeljusnog zgloba, mišića i okolnog tkiva.
Svjesni važnosti lijepog i zdravog osmijeha, u
Privatnoj specijalističkoj ordinaciji dentalne medicine za ortodonciju Reljanović - Protega posebno brinu o estetskom izgledu vaših zuba. Zubni aparat, pomagalo za ispravljanje neravnih zuba više nije neželjeno smetalo koje mladima daje komplekse, već odlično riješenje za prekrasan osmijeh.

Dr.med.dent. specijalist ortodont Domina Reljanović - Protega savjetuje prvi pregled ortodontu u ranijoj dobi, oko 7. godine, zbog lakšeg otkrivanja problema, ali isto tako ističe da ne postoji dobna granica za ortodonstsku terapiju i nošenje fiksnog aparata. Danas postoje fiksni aparati koji estetski izgledaju lijepo i može ih nositi svatko bez osjećaja gubitka samopouzdanja. Fiksni aparati su primjereniji za odrasle, dok su mobilni aparati svojstveniji mlađoj dobi u fazi rasta i razvoja.
Fiksni apart najučinkovitija je i najčešće korištena metoda rješavanja ortodontskih problema, a današnji moderni izgledi čine ih simpatičnim ortodontskim pomagalom. Postoje zubni aparati sa samoligirajućim bravicama koji omogućavaju lakšu higijenu zubne šupljine te smanjuju iritaciju sluznice iritirajućim žicama. Također, vrlo popularni su i takozvani nevidljivi zubni parati koji se lijepe na unutarnju lingvalnu površinu zuba i stoga su potpuno nevidljivi, a učinak je uspješan. U ordinaciji Reljanović - Protega koriste isključivo najbolje tehnike i najmodernije materijale tvrtki Ormco (Damon Clear, Ice), Forestadent (QuicKlear) te GAC (Inovation C) i uvijek će ovisno o Vašoj anomaliji i željama odabrati što je najbolje za Vas. Važno je znati da koliko god napredovala tehnologija i estetika, fiksne aparate postavljaju i dalje isključivo specijalisti ortodonti te ih pacijenti ne mogu sami skinuti.
Nemojte se crveniti pri prvom susretu, već se hrabro nasmijete, jer ortodontski aparati nisu više samo za djecu. Ono što ćete dobiti ortodontskom terapijom -prekrasan osmijeh i samopouzdanje, poboljšana harmonija lica, eliminiranje loših navika te zdravlje kompletnog orofacijalnog sustava, zaista nema cijenu.