OCIJENI
Adresa: Ulica Ante Mike Tripala 2
10000 Zagreb
Telefon:
01 6288 256 01 6288 ... - Klikni za broj
Telefon:
Email: Kontakt podaci
Djelatnosti: Zubar, Stomatolog
Ključne riječi: Ljuskice, krunice, mostovi, dentalna medicina, Lani Dental
Recite da ste oglas vidjeli na mojkvart.hr

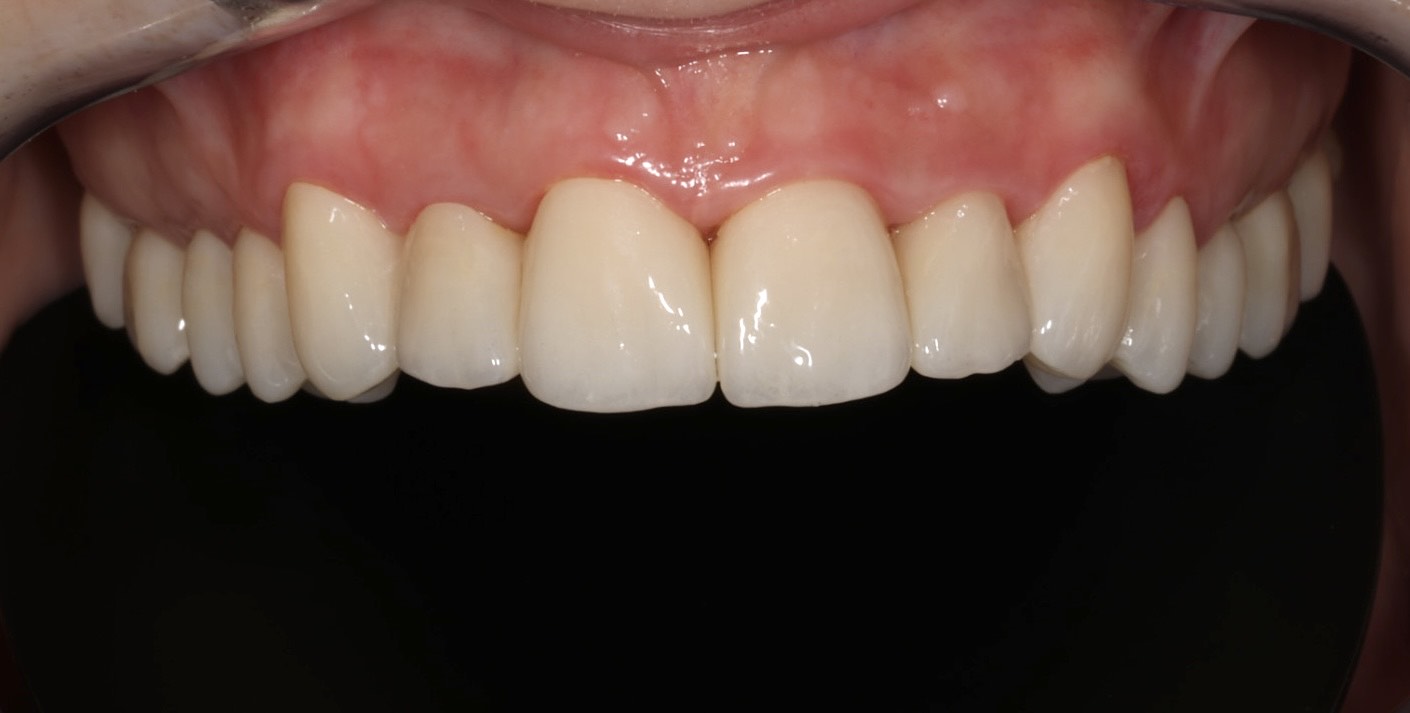
Osmijeh koji izgleda prirodno? Tajna je u preciznom planiranju i kvalitetnom materijalu

U današnje vrijeme osmijeh je puno više od estetskog detalja, on je ogledalo samopouzdanja, zdravlja i osobnog dojma. Dok mnogi maštaju o savršenim zubima, često se boje da bi rezultat mogao djelovati neprirodno, “plastično” ili kao da “nešto ne štima”. Dobra vijest je da to ne mora biti tako.

Zahvaljujući napretku u dentalnoj medicini, danas je moguće postići osmijeh koji ne izgleda “kao s reklame”, već kao najljepša verzija prirodnog, onog koji se skladno uklapa u lice, ten, oblik usana i osobnost.

Nastavak pročitajte na 24sata.hr

Pročitaj cijeli tekst

Komentiraj / Ocijeni

OCIJENI
Ovaj poslovni subjekt još nema komentara, pošalji svoju ocjenu i pomozi drugima!

OCIJENI

Postavite pitanje / Zatražite ponudu

Odgovaramo u roku 24h

MojKvart.hr se obavezuje pružati zaštitu osobnih podataka korisnika u skladu sa Zakonom. Za više informacije kliknite Privatnost korisnika. Za nastavak označite kvačicom Privolu za korištenje osobnih podataka.
OCIJENI