Dentalni laboratorij Sandro Ostojić
Murati 24, 10 000, Zagreb
Dentalni laboratorij
Dentalni laboratorij
Objavljeno: 13.3.2023. 9:35
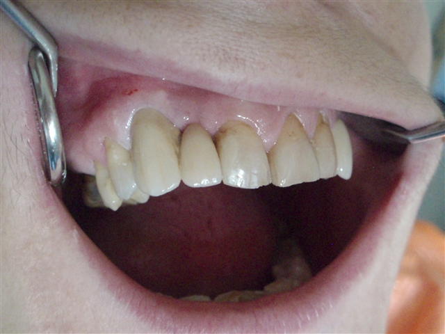
Tražite vrhunske krunice i mostove za svoje zube? Naša dentalna laboratorija nudi visokokvalitetne dentalne usluge za krunice i mostove koji će vam pomoći da vratite svoj osmijeh i samopouzdanje.
Naš dentalni laboratorij ima stručni tim dentalnih tehničara koji će se pobrinuti za izradu vaših krunica i mostova prema najvišim standardima. Koristimo samo najkvalitetnije materijale i najnovije tehnologije kako bi vaše krunice i mostovi bili savršeno prilagođeni vašim zubima i dugotrajni.
Pored vrhunskih krunica i mostova, naša dentalna laboratorija također nudi usluge poput popravka zubi, izrade zubnih implantata i mnogih drugih dentalnih usluga.
Dođite u našu dentalnu laboratoriju i doživite najbolju uslugu u gradu. Naš tim je uvijek spreman da vam pomogne u bilo kojem trenutku i da vam pruži najbolje dentalne usluge.
Za više informacija i za zakazivanje vašeg termina, kontaktirajte nas danas. Vaš osmijeh je naš prioritet.
Naša ponuda
- Provizoriji
- Lijevane nadogradnje
- Akrilatne krunice
- Pune metalne krunice
- Fasetirane krunice
- Ugradnja retencijskih veza /CEKA preci-line, vario-kugle/
- Metal-keramičke krunice
- Totalne proteze
- Djelomične proteze
- Totalna proteza sa metalnom osnovom
- Djelomična proteza sa metalnom osnovom
- Metalna proteza - osnova
- Privremena proteza – žabica
- Reparature /popravci/ proteza
- Podlaganje proteze
- Ugradnja mrežice ili luka u protezu
- Montaža retencijske veze u protezi
- Udlage
- Nemetalna keramika (cirkon)
Posjetite našu web i Facebook stranicu.