DENTALNA POLIKLINIKA MADY MARIČIĆ
Baštijanova 19, uskoro na novoj adresi s parkingom - Vukovarska 15, 51000 Rijeka
Oralna patologija, dječja stomatologija, ortodoncija, RTG dijagnostika
Oralna patologija, dječja stomatologija, ortodoncija, RTG dijagnostika
2 pregleda/dan | Objavljeno: 21.12.2025. 12:16
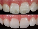
„Bolje spriječiti nego liječiti“ i dalje je glavni moto moderne dentalne medicine, te je naš cilj mliječne, a posebice mlade trajne zube liječiti na način maksimalne moguće poštede zdravog zubnog tkiva kako bi moglo izdržati žvačne sile cijeli život.
Pravovremene posjete doktoru dentalne medicine omogućuju ranu detekciju karijesa, parodontoloških problema i lošeg zagriza te ih je u konačnici i jednostavnije sanirati. Redovite kontrole, odstranjivanje zubnog kamenca, pravilno četkanje i održavanje zdravlja usne šupljine najbolji su ulog za budućnost.
Za više informacija posjetite web stranicu.
http://www.madymaricic-dent.com/hr/djelatnosti/preventivna-i-djecja-dentalna-medicina/
Saznaj više
Saznaj više
Saznaj više
Saznaj više
Saznaj više
Saznaj više
Saznaj više
Saznaj više
Saznaj više
Saznaj više
Saznaj više
Saznaj više
Saznaj više
Saznaj više
Saznaj više
Saznaj više
Saznaj više
Saznaj više
Saznaj više
Saznaj više
Saznaj više