OCIJENI

Kompozitvna nadogradnja zuba/bonding

Objavljeno: 15.9.2022. 14:51

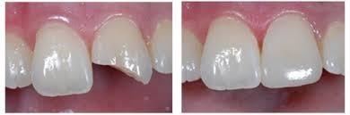
Bonding je naziv za kompozitnu nadogradnu zuba koji se pokazao kao uspješna metoda nakon traume ili trošenja zuba. Postupak je bezbolan i njačešće se radi bez brušenja.

Za više informacija posjetite našu internet stranicu.

OCIJENI