Zubni rendgen Split - Forca Dent
Spinčićeva 2/F, 21000 Split
RTG zuba , ortopan , CBCT Split
RTG zuba , ortopan , CBCT Split
Objavljeno: 8.8.2023. 14:55
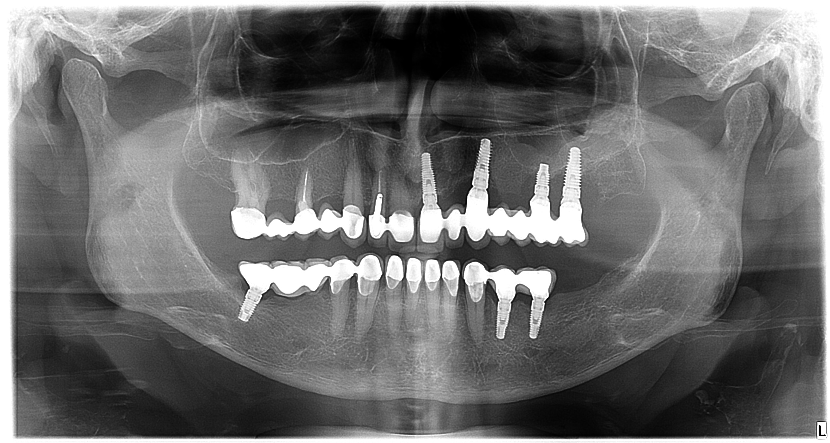
Digitalna tehnologija je unaprijedila medicinske dijagnostičke postupke, a to se posebno odnosi na stomatološku praksu. Kada je riječ o dentalnom rendgenu, digitalni ortopan predstavlja značajan napredak u odnosu na tradicionalne rendgenske snimke. Evo nekoliko ključnih prednosti digitalnog ortopana u odnosu na klasične snimke:
Visoka preciznost i detaljni prikaz
Digitalni ortopan omogućuje visoku razlučivost slike, što znači da stomatolozi mogu dobiti vrlo detaljan prikaz svih zubnih struktura i okolnih tkiva. To je od iznimne važnosti jer precizna dijagnostika pomaže u otkrivanju čak i najmanjih problema s oralnim zdravljem.
Manja doza zračenja
Jedan od najvećih strahova pacijenata kada je riječ o rendgenskim snimkama jest izlaganje zračenju. S digitalnim ortopanom, ta briga se smanjuje. U usporedbi s tradicionalnim filmom, digitalni senzor zahtijeva znatno manju dozu zračenja za dobivanje snimke, što smanjuje potencijalne rizike od izloženosti pacijenta.
Brže dobivanje rezultata
Klasične rendgenske snimke zahtijevaju razvijanje filma i rukovanje kemikalijama, što može produžiti vrijeme čekanja na rezultate. S digitalnim ortopanom, slike se odmah prikazuju na monitoru, omogućujući bržu i učinkovitiju dijagnostiku. Ovo je posebno korisno u hitnim situacijama kada je brza intervencija ključna.
Jednostavnije arhiviranje i dijeljenje
Digitalni ortopan omogućuje jednostavno arhiviranje snimaka u elektroničkom formatu. To znači da nema potrebe za pohranjivanjem i organiziranjem fizičkih rendgenskih filmova. Osim toga, digitalne snimke mogu se lako dijeliti s drugim specijalistima ili poslati pacijentu u elektroničkom obliku, čime se pojednostavljuje komunikacija između stomatologa i drugih zdravstvenih stručnjaka.
Napredne funkcije obrade slike
Digitalni ortopan dolazi s dodatnim funkcijama obrade slike, kao što su povećavanje i mjerenje. To omogućuje stomatolozima da pažljivo analiziraju i procjenjuju podatke, što može dovesti do preciznije dijagnostike i planiranja liječenja.
Digitalni ortopan predstavlja značajan napredak u stomatološkoj dijagnostici u odnosu na tradicionalne rendgenske snimke. Njegovo korištenje pridonosi unaprjeđenju oralnog zdravlja pacijenata i omogućuje bolje planiranje i provođenje stomatoloških tretmana.
Pobrinite se za svoje oralno zdravlje uz vrhunsku uslugu digitalnog rendgena u Forca Dentu. Odlučili smo se za Soredex opremu koja je svjetski je lider u dentalnoj stomatologiji, osiguravajući visoku kvalitetu i preciznost snimaka. Naši inženjeri medicinske radiologije posvećeni su vašoj sigurnosti, pružajući adekvatnu zaštitu tijekom postupka. Za više informacija posjetite našu web stranicu.