A2 dent
Braće Monjac 13, 51000 Rijeka
SUBJEKT NIJE AŽURIRAO PODATKE
Radno vrijeme: |
sri, čet, pet: 7-14.30h
pon, uto : 13-20.30h |
| Djelatnosti: |
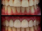
Zubar, Stomatolog
kliknite ovdje i pogledajte sve subjekte iz ove djelatnosti
Estetska kirurgija, estetska medicina kliknite ovdje i pogledajte sve subjekte iz ove djelatnosti
|
Komentiraj / Ocijeni
OCIJENI
Komentiraj / Ocijeni
OCIJENI
Ovaj poslovni subjekt još nema komentara, pošalji svoju ocjenu i pomozi drugima!
Provjereni subjekti:
-
Poliklinika Manestar Blažić - dermatologija i venerologija - ginekologija i opstetricija Kožne i spolne bolesti, estetska dermatologija, ginekologija -
DENTALNA POLIKLINIKA MADY MARIČIĆ Oralna patologija, dječja stomatologija, ortodoncija, RTG dijagnostika -
ORDINACIJA DR. LAZARIĆ d.o.o. Otorinolaringolog i plastični kirurg -
Stomatološka ordinacija Dr. Vera Ljuboja Vaš blistav osmjeh i oralno zdravlje je naša misija! -
CENTRODENT - dentalna medicina Stomatološka ordinacija Rijeka -
Saznaj više -
Saznaj više